울산남구치과 치료를 미루지 말고

안녕하세요.
모든 진료에 진심을 다하는 곳,
더플러스치과입니다.
한 조사에 따르면
일반인의 60~80%에서 치과를 방문할 때마다
불안함을 느끼며,
중에서도 10~20%는 극심한 공포를 느끼고
1~5%는 병이라고 진단될 만큼
극심한 치과 공포증을 앓고 있다고 합니다.
이러한 결과만 봐도 알 수 있듯이
많은 분들께서 방문을 꺼려하시며
치료의 시기를 놓치는 경우가 많습니다.
시기를 놓치게 되면
간단히 끝날 수 있던 진료가 더욱 복잡해지고
어려워질 수 있기 때문에
피하지 말고 치 과에 방문하여
진단받는 것이 좋습니다.
오늘은 울산남구치과 더플러스에서
타 병 원에서 신경치 료 받은
치아 하방으로 생긴 뿌리 염증으로 인해
치근단 절제술을 진행하신 분을
소개해 드리도록 하겠습니다.

위 환자분은 이전 다른 치과에서
신경치료 받은 치아의 뿌리 쪽에서
잇몸 밖으로 염증이 볼록하게
튀어 나온게 보여
본 원에 방문해 주셨습니다.
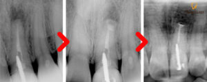
먼저 정확한 상태를 알아보기 위해
엑스레이 촬영을 진행하였는데,
판독해보니 신경치료를 진행한
치아의 뿌리 쪽에 염증이 재발생 한 모습을
볼 수 있었습니다.
하지만 예전 치료 시 신경치료 후
치아를 더욱 튼튼하게 사용하기 위해
포스트가 진행되어 있어
재신경치료가 불가능한 상태였습니다.
발치가 필요한 상황이였으나
환자분께서도 발치를 원하지 않고
항상 치아를 살리자는 목표를 바탕으로
치료를 진행하는 본 원의 이념에 따라
자연치아를 살리기 위해
복잡하고 힘든 치료방식인 치근단 절제술을
진행하기로 하였습니다.

치근단 절제술이란
염증이 발생한 치아의 뿌리 끝을
잘라내는 방식으로,
신경치료를 마무리 하고 난 후에
감염된 신경 조직들이
제대로 제거되지 않았거나 여러 이유로 인해
염증이 재 발생하였을 때
진행하는 술식입니다.
뿌리 끝을 절제하는 방식으로
제거를 하게 되면
인접한 곳에 퍼져 있는 염증들을
모두 제거할 수 있고,
시간이 흐르면서 치아 주변으로
다시 치조골이 차오르고
회복하는 과정을 거치게 됩니다.
하지만 치근단 절제술은
모든 경우에 성공하는 것은 아니며,
경과를 지켜본 후 회복이 되지 않는 경우
발치 후 임플란트의 가능성이 있으므로
항상 이를 염두해 두고 치료를 진행하게 됩니다.

먼저 문제 치아의 뿌리를 절제하기 위해
잇몸을 박리한 후 염증을 제거하게 됩니다.
환자분의 경우 다행히 인접한 치아들까지
염증이 번지진 않았지만
해당 치아의 치조골이
상당부분 소실된 상태였습니다.
이렇게 발생한 염증을 방치하게 되면
더 많은 치조골의 손실로
추후 임플란트를 식립할 때
문제가 될 수 있기 때문에
조기에 치료받는 것이 무엇보다 중요합니다.

치아 뿌리 끝을 절제하며
염증 조직들을 제거한 모습을 보실 수 있습니다.
치근단 절제술을 진행하고 난 후에는
재 감염 방지를 위해 치과용 재료를
사용하여 마무리하게 됩니다.
울산남구치과 정기검진 차 오셨을 때
예후를 보기 위해 X-ray 사진을
촬영해 보았는데요.
치근단 절제술 후에는 경과를 지켜 보며
치조골이 차오르는지 확인해보아야 하며,
현재 환자분께서는 간헐적으로 올라오던
볼록한 염증도 더이상 나타나지 않는다며
좋아해 하셨습니다.
후에도 정기 검진 예약을 잡아드려
경과를 관찰하기로 한 후
치료를 종결하였습니다.

치근단 절제술은 신경 치료 후
발치 전 치아를 보존할 수 있는
마지막 방법인 만큼 많은
경험과 노하우를 가진 의료진에게 치료를 받아야
좋은 예후를 기대해볼 수 있는데요.
본 원에서는 보건복지부 인증
구강악안면외과 전문의 대표원장님께서
자연 치아를 보존하기 위해
진심을 다하고 계십니다.
막연한 공포심으로 인해 치료를 미루게 되면
후에 더 복잡하고 어려운 진료가 필요합니다.
이를 명심하시고 편안한 분위기의
울산남구치과 더플러스치과로 내원하여
안정적으로 치료를 받아보시길 바랍니다. 🙂
* 모든 증례 사진은 의.료법 제23조,
제56조에 의거하여,
당사자의 동의하에 게시하였습니다.
* 치료 사진은 모두 본원에서 치료한
환자분 사진입니다.
* 치료 사진은 모두 동일인이며,
동일조건에서 촬영하였습니다.
*개인의 차이에 따라
시술 및 수술 후 부작용이 발생할 수 있으며,
의.료진과 충분한 상담을 받으시길 바랍니다.
더플러스치과 네이버 바로가기