수암동치과 치아를 보존하기 위한 마지막방법으로

안녕하세요.
모든 진료에 진심을 다하는 곳,
더플러스치과 입니다.
모든 치료가 그렇다시피 치과 치료에도
적절한 시기가 있는데요.
이를 지나치게 되면
자연 치아를 보존하기 힘들어질 수 있습니다.
아무리 의료기술이 발달하고 있다고 해도
자연치아를 완벽히 대체할 순 없기에
시기를 놓치지 않도록
정기적으로 검진을 받는 것이 중요합니다.
최근에는 임플란트의 수요가 늘어나면서
비교적 간단하고 심미적인 치료라
자연치아를 보존하기보단
임플란트를 원하시는 경우도 있었지만
이는 올바른 판단이라 할 수 없습니다.
임플란트는 자연 치아를 정말 보존할 수 없는 경우
사용되는 방법이기 때문에
임플란트보단 치아를 보존할 수 있는
방법을 먼저 찾아보는 것이 좋습니다.

기존에 신경치료를 마무리하였더라도
추가적으로 문제가 일어난 경우에는
환자분의 상태에 따라
치아를 보존하기 위해 치근단 절제술이나
치아재식술을 시행하여 치아를 살리게 됩니다.
치수에 염증이 있거나 세균에 감염되어서
치아 뿌리 끝에 염증이 일어난 경우에는
근관치료를 시행한 후에도
치아 뿌리 끝 주위에 있는 조직은
치료되지 않는 경우가 많은데요.
이 경우에는 치아 뿌리 끝에 있는
치조골 주위의 염증 조직을
치아 뿌리 끝부분과 함께 잘라내는데
이것을 치근단 수술 또는
치근단 절제술이라고 합니다.
치근단 절제술을 진행하게 되면
치아를 발치하지 않고 보존할 수 있다는 장점이 있어
근관 치료를 했지만 통증이나
염증 증세가 그대로 남아 있는 경우,
치아 뿌리 통로가 좁아서
근관치료를 하는 기구로는
치아 뿌리 끝 부분까지 닿을 수 없는 경우,
치조골을 치료하는 경우에 실시합니다.

비슷한 치료로는 치아재식술이 있는데요.
치아재식술은 치아의 손상 없이
조심스럽게 발치를 한 후 최대한 빠르게
치아 뿌리 염증을 제거하고
본래 치아의 위치로 심어주는 치료로,
치아를 살리기 어렵다고 판단될 정도로
심각하거나 신경치료 중 근관이 막혀
염증을 배출하지 못할 때,
신경치료 이후 통증이 가라앉지 않을 때
고려하는 방법입니다.
치아재식술은 치아가 부러지지 않도록
발치하는 것이 핵심이라고 할 수 있습니다.

오늘은 수암동치과 본원에 구강 내 염증이 발생하여
내원해 주신 분을 소개해 드리도록 하겠습니다.
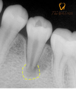
환자분의 정확한 상태를 알아보기 위해
먼저 X-ray 촬영을 진행하였는데요.
정상적으로 닫혀있는 치근의 모양이 아닌
근관이 열려있는 형태의
기형치로 염증이 발생해 있었습니다.
우선 치료를 진행하기에 앞서
발치 가능성을 설명해 드린 후
치아재식술을 진행한 후 염증을 제거하여
경과를 지켜보기로 하였습니다.
수암동치과 치아재식술의 과정으로는
먼저 치아를 발치한 후 치근 끝을 잘라내고
신경관을 치과 재료인 MTA를 사용하여
충전하게 됩니다.
MTA란 신경을 제거한 뒤 공간을 충전할 때
사용하는 치과용 재료로,
일반 레진 계열 실러의 장점을 살리고
단점은 보완하여 뛰어난 밀폐성을
가지고 있기 때문에 감염을 예방할 수 있고
생체 친화적이며, 통증 감소와 살균 효과,
우수한 치근단 조직 재생 능력이 있습니다.


그 후 염증을 제거하여 본래의 위치에
재식립하게 되는데요.
이식한 치아의 경우
다시 자리를 잡는 데 시간이 필요하기 때문에
지속적으로 상태를 확인해 보아야 합니다.
고정을 위해 옆 치아에
스플린트를 달아 고정해 두었고,
시간이 지남에 따라 치아가 고정되어
잘 아문 모습을 볼 수 있었습니다.

환자분께서는 나이가 어렸기 때문에
치아를 보존하는 것이 미래를 생각해서도
좋은 방법이라 정기적으로 잘 내원해 주셨고,
주의 사항도 잘 지켜주셔서
치료를 안정적으로 마무리하였습니다.

수암동치과 더플러스치과의
장수원 대표원장님께서는 보건복지부 인증
구강악안면외과 전문의로써
자연치아를 살리는 데에 최대한 힘쓰고 계시며,
어려운 케이스임에도 불구하고
할 수 있는 방법을 동원하여
성공적인 진료를 이끌어 나가고 계십니다.
치아를 살리기 위해 앞장서는
더플러스치과가 되도록 노력하겠습니다.
감사합니다.
* 모든 증례 사진은 의.료법 제23조,
제56조에 의거하여,
당사자의 동의하에 게시하였습니다.
* 치료 사진은 모두 본원에서 치료한
환자분 사진입니다.
* 치료 사진은 모두 동일인이며,
동일조건에서 촬영하였습니다.
*개인의 차이에 따라
시술 및 수술 후 부작용이 발생할 수 있으며,
의.료진과 충분한 상담을 받으시길 바랍니다.
더플러스치과 네이버 바로가기