수암동치과 구강악안면외과 전문의에게

 

수암동치과 로고

 

안녕하세요.

모든 진료에 진심을 다하는 곳,

더플러스치과입니다.

사랑니를 생각하면

공포심 먼저 느끼시는 분들이 많으실 텐데요.

 

주변에서 발치 후기를 듣거나

직접 경험해 보았다면

더더욱 피하고 싶어집니다.

 

하지만 사랑니는 구강 내에

이로운 역할을 하기보다는

문제를 일으키는 경우가 더 많기 때문에

수암동치과 사랑니발치를 해주는 것이 좋습니다.

오늘은 더플러스치과에 치료 목적으로 오셨다

완전히 매복된 사랑니도

함께 발치를 진행하신

환자분을 소개해 드리도록 하겠습니다.


위 환자분께서는 검진을 위해 본 원에 내원해 주셨다가

파노라마 사진을 촬영해 보고

발치 시기가 되어 함께 진행하셨는데요.

 

원래 사랑니의 존재는 인지하고 계셨지만,

한 번씩 어금니 뒤쪽으로 잇몸이 부어

발치할 때가 된 것인지 생각하셨다고 합니다.

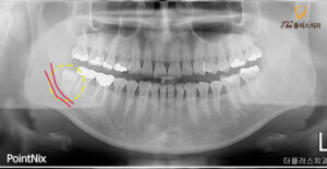
파노라마 사진을 보시면

신경관과 사랑니가 맞물려 있는 모습을

보실 수 있는데 이런 경우

안정적인 진행을 위해 CT를 촬영하여

사랑니의 정확한 맹출 방향과 치근의 휨 정도,

신경과 중첩된 모양 모두 정밀히 파악하여

발치를 진행해야 합니다.

또한 환자분의 경우

앞쪽에 위치하고 있는 치아와 근접해 있었기 때문에

발치 하면서 앞 치아의 크라운을 건드리거나

치아가 손상되지 않도록 해야 하는

고난이도의 수암동치과 사랑니발치 케이스였습니다.


이렇게 완전 매복되어 있는

사랑니를 발치할 때는 잇몸을 절개한 후

치아를 쪼개어 발치하게 되고,

이때 눌리는 힘에 의해 신경관이

손상받지 않도록 해야 합니다.

 

발치 후에는 절개를 했기 때문에

잇몸을 봉합하게 되고 개인에 따라

붓기나 통증의 차이가 있을 수 있습니다.

발치 후 사진을 보시면 잔존 치근 없이

깔끔히 발치가 된 모습을 볼 수 있으며,

마취가 풀린 후에도 신경 손상 없이

감각이 돌아왔다고 하셨습니다.

 

환자분께서는 사랑니 발치는 처음이었는데

걱정했던 것보다 덜 아프고

회복도 빨랐다며 만족해하셨습니다.

수암동치과 원장님 약력

이러한 고난이도의 사랑니 발치는

인접한 치아나 신경 등에

손상이 가지 않아야 하기에

발치 경험이 풍부한 실력 있는 의료진에게

맡기는 것이 중요한데요.

 

본 원에서는 보건복지부 인증

구강악안면외과 전문의이신 대표원장님께서

수술에 대한 탁월한 노하우로

특히 고난이도의 사랑니 발치와

임플란트 등 수 술을 전문으로

섬세하게 진행하고 계십니다.

구강악안면외과 전문의란,

치과대학 졸업 및 치과의사면허 취득 이후

대학 병원급 의료기관에서

4년간의 전문 수련 과정을 거쳐

다양한 외과 수술 경험을 쌓기 때문에

임상 지식과 경험이 풍부해 믿고 맡기실 수 있습니다.


수암동치과 사랑니 발치후에는

주의사항을 잘 지켜주어야

추후 문제가 발생하지 않는데요.

 

✔️발치 후 거즈는

2시간 정도 세게 압박하여 물고 있어야 합니다.

 

✔️피와 침은 뱉지 않고 삼켜주어야 하며,

마취로 인해 무는 감각이 둔해져

거즈가 밀릴 수 있으니

최대한 물려드린 그대로 입을

움직이지 않도록 해야 합니다.

 

✔️자극적이나 너무 뜨거운 음식은

지혈을 방해시키기 때문에

마취가 풀린 후 미지근한 유동식을

드시는 것이 좋으며, 흡연이나 음주, 과격한 운동,

사우나는 지혈을 방해하거나

염증을 유발시킬 수 있으므로 자제해 주셔야 합니다.

 

✔️통증이 있을 때는 냉찜질을 해주면 도움이 되며,

처방받은 약은 아프지 않더라도

감염 예방을 위해 다 챙겨 드셔야 합니다.

 

✔️사랑니발치를 하고 난 빈 공간 위로 생기는

혈병은 절 때 건들이거나

억지로 떼어내면 안 됩니다.

 

이는 환부가 감염되지 않도록

보호해 주는 역할을 하는데,

혈병이 탈락하게 되면

드라이 소켓이 발생하게 됩니다.

 

드라이소켓은 극심한 통증과

구취를 발생시키며 증상이 나타난 경우

빠르게 치과에 내원하여 처치 받아야 합니다.

발치 후 주의 사항을 제대로 지켜

추후 문제가 발생하지 않도록

노력하시길 바라며,

수암동치과 사랑니발치가 필요하다면

더 이상 미루지 말고

본 원에 내원해 주시길 바랍니다.

 

감사합니다.

 

* 모든 증례 사진은 의.료법 제23조,

제56조에 의거하여,

당사자의 동의하에 게시하였습니다.

* 치료 사진은 모두 본원에서 치료한

환자분 사진입니다.

* 치료 사진은 모두 동일인이며,

동일조건에서 촬영하였습니다.

*개인의 차이에 따라

시술 및 수술 후 부작용이 발생할 수 있으며,

의.료진과 충분한 상담을 받으시길 바랍니다.

 

더플러스치과 네이버 바로가기

11. 수암동치과 난이도가 높더라도 안정적으로

 

문의 전화

052-267-7528

네이버 예약

네이버 예약