수암동치과 틀니와 임플란트를 같이 할 수도 있나요?

수암동치과 이미지

안녕하세요.

모든 진료에 진심을 다하는 곳,

더플러스치과입니다.

다수의 치아를 상실하였을 경우

임플란트나 틀니 등을 이용하여

상실된 부위를 대체하게 되는데

특히 고령의 어르신분들이나 약을 복용 중인 전신 질환자,

경제적인 부분이 부담되시는 분들의 경우 등에는

임플란트 수술이 부담스럽고

어려워 틀니를 사용하여

치아의 기능을 회복하곤 합니다.

오늘은 수암동치과 더플러스치과에서

틀니와 임플란트 2가지 방법을 통해

치아의 기능을 회복하신

환자분을 소개해 드리도록 하겠습니다.

 

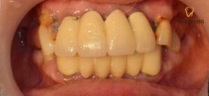
위 환자분은 치과 공포증으로 인해

치아가 탈락해도 치과에 방문하지 않고

미루시다가 식사도 되지 않고

남아있는 치아에도 통증이 생겨

수암동치과 본 원에 내원해 주셨는데요.

 

전치부와 하악 소구치 2개만 잔존해 있고

나머지 치아는 상실되거나

치근만 남아있는 상태였습니다.

조금 더 정밀한 진단을 위해

파노라마 사진을 촬영해 보았더니

곳곳에 잔존 치근이 남아있었고

특히 상악에는 치아가 뿌리까지

충치에 이환되어 발치가 필요하였으며,

나머지 치아들도 치근이 짧아지고

치조골이 퇴축되어 흔들림이

심한 상태라 발치가 진행되어야 했습니다.


하지만 치아가 상실된 지 오래되어

잇몸이 수축되고 임플란트를 심기에는

상악동 거상술과 같은 부가적인 시술이

추가로 들어가야 안정적인

임플란트 식립이 이루어질 수 있었는데요.

 

환자분께서는 치료 방법에 대해

부담감을 느끼시고 틀니로 진행을 원하셨습니다.

하악에는 좌측 소구치를 제외한

나머지 치아는 다행히 치조골의 상태가 양호하고

치아를 보존하여 사용해도 괜찮을 것 같아서

브릿지로 연결하여 사용하기로 하였습니다.

 

환자분의 상황처럼 교합이 무너진 경우에는

다시 올바른 교합을 맞춰주어야 하는

높은 난이도의 치료 과정이며,

임플란트를 먼저 식립하여 유착 과정을

기다리는 동안 틀니를 완성시킨 후

위아래 교합을 맞추어

치료를 진행하기로 하였습니다.

먼저 하악의 잔존 치근들과

좌측 소구치 하나를 발치한 후

임플란트 식립을 진행하였으며,

치조골의 양이 부족한 부분에는 픽스쳐가

단단히 고정될 수 있도록

치조골 이식을 함께 진행하여

4개의 임플란트를 식립하였습니다.

 

임플란트 식립 후 상악에도

잔존 치아들과 치근을 모두 발치하고 난 후

본 틀니가 들어가기 전 임시 틀니를 제작해 드렸고,

잇몸이 어느 정도 아물고 난 후

틀니 제작을 시작하였습니다.

 

먼저 구강에 맞는 틀을

인상 채득한 후 제작하게 되는데

이때 틀은 조금 더 정확한 구강 상태를

채득하기 위한 과정으로,

만들어진 틀에 정밀한 인상 채득 재료를 사용하여

틀니를 위한 최종 인상을 하게 됩니다.

이때 틀니의 내면이

적합하게 만들어지기 위해서는

정밀한 인상 채득을 하는 것이 무엇보다 중요합니다.

 

그 다음 인상 채득한 것을 토대로

모형이 만들어져 오면 위아래 교합 상태와

고경을 확인해 보아야 하는데

이 과정은 교합을 결정하는 중요한 단계입니다.

수암동치과 치료 이미지

교합을 확인하고 난 후에는

최종 틀니 완성 전 인공 치아들이

배열되어 오는 데 어느 정도 틀이

잡혀있는 상태이기 때문에

구강 내에 시적하여 유지력과

교합 상태를 확인해 봅니다.

 

마지막으로 틀니가 완성되어 오면

구강에 맞추어 보고 수정이 필요한 부분을

수정하게 됩니다.

 

틀니가 마무리되고 난 후에는

하악 전치부 브릿지를 상악 틀니의 교합에 맞춰

소구치까지 연결하여 제작하였고,

3달 정도의 시간이 지나 치조골과

픽스쳐가 단단히 유착되어

함께 보철물 제작을 진행하였습니다.

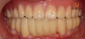
환자분께서는 임시 틀니에 비해

불편함이 없고 생각보다 강한 유지력에 만족해하셨으며,

하악 임플란트와 브릿지,

틀니 모두 심미적으로 만족스럽고

교합이 잘되어 식사가 편해지셨다며

감사의 인사를 건네주셨습니다.


수암동치과 더플러스치과에는

보건복지부 인증 구강악안면외과 전문의이신

장수원 대표원장님께서 수술에 대한

탁월한 노하우로 임플란트나 틀니 등의

치료를 섬세하게 진행하고 계십니다.

 

여기서 구강악안면외과 전문의란,

치과대학 졸업 및 치과 의사면허 취득 이후

대학병원급 의료기관에서 4년간의

전문 수련 과정을 거쳐 다양한 외과 수술 경험을

쌓기 때문에 임상 지식과

경험이 풍부해 믿고 맡길 수 있습니다.

늘 환자분들의 마음에 공감하는

수암동치과 더플러스치과였습니다.

 

감사합니다.

 

* 모든 증례 사진은 의.료법 제23조,

제56조에 의거하여,

당사자의 동의하에 게시하였습니다.

* 치료 사진은 모두 본원에서 치료한

환자분 사진입니다.

* 치료 사진은 모두 동일인이며,

동일조건에서 촬영하였습니다.

*개인의 차이에 따라

시술 및 수술 후 부작용이 발생할 수 있으며,

의.료진과 충분한 상담을 받으시길 바랍니다.

 

 

더플러스치과 네이버 바로가기

11. 수암동치과 난이도가 높더라도 안정적으로

 

문의 전화

052-267-7528

네이버 예약

네이버 예약