울산남구치과 사랑니발치는 미루지 마세요!

울산남구치과 타이틀 이미지

 

안녕하세요.

 

모든 진료에 진심을 다하는 곳,

더플러스치과입니다.

사랑니라고 하면 예쁜 이름과는 다르게

많은 분들이 이름만 들어도

무섭다고 말하시곤 합니다.

 

보통 사랑니를 뽑을 때의 통증으로 인한

두려움 때문으로

불편감이 생겨도 방치하시는 경우가

대부분입니다.

사랑니는 영구치 중 가장 마지막에,

또 가장 안쪽에 나는 치아입니다.

 

일반적으로 18-25세 사이의 시기에

자라 나와 첫사랑을 경험할 때쯤

나오는 치아라는 의미에서

사랑니라는 이름을 가지게 되었다고 합니다.

 

위아래 양 옆으로 총 4개의

사랑니가 날 수 있으며

경우에 따라서 모두 맹출될 수도 있고,

아예 나오지 않는 경우도 있습니다.

사랑니는 가장 안쪽에 자라는 위치의 특성상

안쪽에 있다보니

사랑니가 완전히 자라 나올 만큼의

공간이 충분치 못해

비스듬하게 올라오거나

완전히 묻혀있는 매복의 형태를

띄는 경우가 많습니다.

이러한 경우 구강 관리가 쉽지 않아

충치과 치주질환을 일으키고,

주변 치아에 좋지 않은 영향을 주어

울산남구치과 더플러스치과에서는

증상이 발생하기 전 미리 발치하는 것을

권해드리고 있습니다.

“사랑니를 발치해야 하는 경우”

 

✔︎사랑니의 맹출 방향이 좋지 않고,

구강 관리가 잘 되지 않는 경우

✔︎사랑니로 인한 통증이 있는 경우

✔︎잇몸 뼈에 인접하여

사랑니가 묻혀있어 물혹이 생긴 경우

✔︎인접한 어금니 뿌리를 손상시키는 경우

✔︎사랑니 주변으로 잇몸에 염증이 있는 경우

✔︎교정치료의 공간 부족을 해결하기 위해

발치해야 하는 경우


오늘은 더플러스치과에서

사랑니의 맹출로 인해 잇몸이 불편해서

발치를 진행하신 환자분을 소개해 드리겠습니다.

위 환자분께서는 사랑니가 있는지도

모르고 살아오셨다고 하셨는데

어느날 갑자기 잇몸이 좀 붓는 듯한 느낌이

들기 시작했다고 합니다.

 

당시에는 큰 불편함은 느껴지지 않아서

그대로 지내시다가

점점 더 붓기가 심해지는 것 같아

울산남구치과 더플러스치과로 오셨다고 합니다.

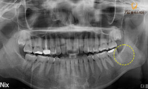
전반적인 엑스레이 촬영 결과,

환자분께서는 위쪽 양옆에 2개,

아래 왼쪽에 1개의 사랑니가 존재하였고,

환자분께서 불편해 하시는

왼쪽 아래의 사랑니는

잇몸뼈에 완전히 매복되어 있는 상태였습니다.

 

사랑니 발치를 해야 할 때에는

사랑니의 맹출 방향과,

뿌리가 휘어진 정도,

신경관과의 거리 등을 면밀히 살펴보아야 합니다.

 

따라서 본원에서는 환자분의

사랑니 위치를 세심하게 살펴보기 위해

3D CT 촬영을 진행하였습니다.

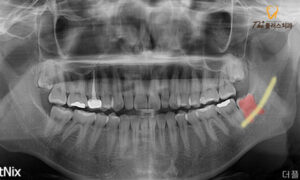
환자분의 왼쪽 아래의 사랑니는

다행히 누워있는 형태는 아니었으나,

치아 뿌리의 형태가 많이 휘어 있어

발치를 진행하는 과정에서

부러질 수 있는 가능성이 있었으며,

아래턱뼈를 가로지르는 하치조 신경관과

거리가 매우 가까운 케이스로

난이도가 높은 편에 속하였습니다.

 

환자분께는 현재 상태를 꼼꼼히 알려드렸고,

아래턱 뼈에 존재하는

하치조 신경관과 매우 가깝다는 부분,

뿌리가 휘어져 발치의

어려움이 있음을 설명드렸습니다.

 

충분한 상담 후 사랑니 발치를 진행하였고,

깔끔하게 발치가 완료된 모습입니다.

사랑니 치아의 뿌리가 많이 휘어있었고,

신경과 매우 가까운 상태였으나

신경의 손상이 없이,

뿌리와 잔여물 없이 깔끔하게 제거가 되었습니다.

이렇게 신경과 가까운 사랑니의 경우,

많은 환자분들께서 그냥 안뽑으면

안되는 지도 많이 물어보시곤 합니다.

 

반드시 발치를 해야하는 사항은 아니지만,

사랑니가 맹출하고 음식물이 많이 끼며

염증이 생길 수 있는 가능성이 있다면

발치를 추천드립니다.

울산남구치과 사랑니 발치 전후 이미지

사랑니 발치 후에는 주의사항도

함께 꼭 지켜주셔야 합니다.

 

울산남구치과 더플러스치과에서는

발치 전과 후,

환자분께 꼼꼼하게 주의사항 또한

꼼꼼하게 설명드렸습니다.

 

한동안은 사랑니 부위가 비어 있으나

그 부위에는 시간이 지나 조직이

채워짐을 기대해볼 수 있습니다.

신경과 가까워 그냥 뽑지 않는게

나을까 싶던 환자분께서도

빼고나니 잇몸이 자주 붓던 증상도

사라지고 좋다고 하셨고,

이렇게 어려운 경우는 보통

대학병원을 가야하는 걸로 알고 있었는데

가까운 곳에 전문의가 있으니

편하게 발치할 수 있었다며

장수원 대표원장님께 감사 인사도 전해주셨습니다.

울산남구치과 원장님 약력

 

울산남구치과 더플러스치과에는

보건복지부 인증 구강악안면외과 전문의이신

장수원 대표원장님께서

수술에 대한 탁월한 노하우로

특히 고난이도의 사랑니 발치와 임플란트 등

수술을 전문으로 섬세하게 진행하고 계십니다.

구강악안면외과 전문의란,

치과대학 졸업 및 치과의사면허 취득 이후

대학병원급 의료기관에서

4년간의 전문수련과정을 거쳐

다양한 외과 수술 경험을 쌓기 때문에

임상 지식과 경험이 풍부해

믿고 맡기실 수 있습니다.

늘 환자분들의 마음에 공감하는

더플러스치과였습니다.

 

감사합니다.

* 모든 증례 사진은 의.료법 제23조,

제56조에 의거하여,

당사자의 동의하에 게시하였습니다.

* 치료 사진은 모두 본원에서 치료한

환자분 사진입니다.

* 치료 사진은 모두 동일인이며,

동일조건에서 촬영하였습니다.

*개인의 차이에 따라

시술 및 수술 후 부작용이 발생할 수 있으며,

의.료진과 충분한 상담을 받으시길 바랍니다.

 

더플러스치과 네이버 바로가기

문의 전화

052-267-7528

네이버 예약

네이버 예약