수암동치과
양쪽 어금니 모두 빠진지 오래되어 식사가 불편해요.

안녕하세요.
모든 진료에 진심을 다하는 곳,
더플러스치과입니다.
현대 평균 연령이 높아지면서
초고령화 시대가 되고 있는데요.
나이를 먹으면서 신체도
자연스럽게 노화되기 마련입니다.
치아 역시 노화로 인한 잇몸의
약화가 생겨 치아가 흔들려 빠지게 될 수도 있습니다.
건강한 노후 생활을 하기 위해서는
신체 건강도 중요하지만 치아 건강도
신경 써주셔야 하는데요.
저작 기능에 문제가 생겨나게 된다면
음식을 저작하기 힘들어지는데요.
치아가 손실되는 원인은
여러 가지가 있지만 이 같은 부분을
개선하기 위해서는
수암동치과 임플란트 치료를
받으시는 것이 좋습니다.
오늘은 더플러스치과에서 수암동치과
임플란트를 진행하신 환자분을
소개해 드리도록 하겠습니다.

위 환자분은 60대 여성분으로,
하악 양쪽으로 어금니가 상실된 지 오래되었지만
앞쪽으로 식사가 가능하여 계속 미루다
앞니들 마저도 통증이 생겨
본 원에 내원해 주셨습니다.
육안으로 먼저 살펴 보았더니 환자분 말씀처럼
구치부가 다수 상실되어 있고
여러 치아도 흔들리고 있었으며,
특히 하악 어금니가 상악 어금니를
받쳐주지 못해 정출되어 있었습니다.

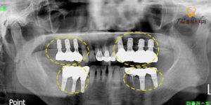
조금 더 정밀한 진단을 위해
파노라마 촬영을 진행해 보았더니
하악의 구치부는 빠진 지 오래되어
치조골이 잘 차올라 있었지만,
하악 소구치도 치주 질환으로 인해
치조골이 소실되어 치아가 흔들리고 있었습니다.
소구치 발치와 함께 구치부에
임플란트를 진행하기로 하였으며,
또한 반대쪽 소구치도 크라운으로
수복되어 있는 치아에 통증을 호소하셔서
크라운을 제거한 후 치아 내부 상태를
확인해보고 신경치료 후 재 크라운 치료를
진행하기로 하였습니다.
상악의 우측의 경우 아래쪽에
대합되는 구치부가 상실된 지 오래되어
소구치와 대구치 모두 정출되어 있었는데요.
두 치아는 보존하기 어려워
발치를 진행한 후 수암동치과 임플란트를
진행하기로 하였습니다.
또한 반대쪽 브릿지도 치조골이
상당 부분 소실되어 치아를 잡아주지 못해
흔들리고 있었으며,
마찬가지로 보존하여 사용하기 어려워 발치 후
임플란트를 진행하기로 하였습니다.

환자분의 나이는
만 65세가 지나신 상태였는데요.
만 65세 이상의 분들이면
2개에 한하여 본인 부담금 30%만 지불하면 부담 없이
받아보실 수 있어 2개의 임플란트는
보험 임플란트로 진행하기로 하였습니다.
환.자분의 경우처럼 양쪽 모두 치료를
진행해야 할 때는 한 번에 모든 부위를
식립하게 되면 환자분께서 느끼시는
불편함의 정도가 크기 때문에
한 쪽씩 나눠서 진행하게 됩니다.

먼저 식사 시 사용하지 않는
오른쪽 먼저 진행을 하였고,
하악 소구치와 상악 대구치,
소구치를 발치한 후 임플란트를 식립하였습니다.
하악의 경우 따로 치조골이식이 필요하지 않았지만,
상악의 경우 상악동과
치조골 사이에 임플란트가 식립될 공간이
매우 부족하여 상악동 거상술을
함께 진행하기로 하였습니다.
여기서 상악동이란 위턱뼈 속의
비어있는 공간을 말하는데
상악동 거상술은 이러한 빈 공간인 상악동에
인공 치근이 안정적으로 유착될 수 있도록
상악동 아래쪽을 들어 올려 그 공간에
뼈를 채워 넣음으로써 임플란트를
심을 수 있는 뼈의 양을 확보해주는 방법입니다.
상악동 거상술은 고난도의 수술 방법에 속하기에
숙련된 의료진이 정밀한 진단을 통해
책임지고 직접 진료하는지 확인하는 것이 중요합니다.

본 원에서는 보건복지부 인증
구강악안면외과 전문의이신
장수원 대표원장님께서 수술에 대한
탁월한 노하우로 임플란트나 틀니 등의 치료를
섬세하게 진행하고 계십니다.
여기서 구강악안면외과 전문의란,
치과대학 졸업 및 치과의사면허 취득 이후
대학병원급 의료기관에서 4년간의
전문 수련 과정을 거쳐 다양한
외과 수술 경험을 쌓기 때문에
임상 지식과 경험이 풍부해 믿고 맡길 수 있습니다.

우측 식립을 마무리한 후 치유기간을
어느 정도 거치고 좌측 치료를 진행하였으며,
브릿지는 발치를 진행하고
우측과 마찬가지로 상악동 거상술을
함께 진행하였습니다.
임플란트 유착을 기다리는 동안
하악 크라운을 제거한 후 치료를
진행하기로 하였으며,
다행히 치아 내부 상태가 괜찮아
신경치료 후 재 크라운을 수복하였습니다.
임플란트가 안정적으로 식립 되었다고 하더라도
잇몸뼈와 임플란트가 단단히 유착되어야
수명을 늘려 오랫동안 사용할 수 있는데요.
특히 상악동 거상술을 진행한 경우,
상악동 거상술을 하지 않은 부분에 비해
치유 기간이 조금 더 걸리게 됩니다.
이를 위해 본 원에서는
BA 표면 코팅 강화 임플 란트와
SOI 임플란트를 사용하여 피스쳐의 표면과
치조골이 더 잘 유착될 수 있도록 해줍니다.

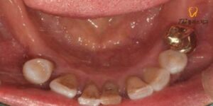
6개월 후 임 플란트와 치조골이
잘 유착되고 지대주와 크라운을
제작하여 마무리 하였으며,
환.자분께서는 평소 밥을 먹을 때
먹는 둥 마는 둥 했었는데 이제 식사할 때도
너무 편해서 살이 찐 것 같다 하시며
만족해 하셨습니다.

치조골이 손상되어 임플란트가 흔들리게 되면서
식립한 것이 빠져나올 수도 있어
오랫동안 유지를 하기 위해서는
꼼꼼한 사후관리가 이루어져야 합니다.
더플러스치과에서는 체계적인 사후관리를 세우며,
계속적으로 환자의 상태를
살피기 위한 검진이 진행하고 있습니다.
본 원에서 임플란트 시술을 하신
모든 환자분들께 보증서를 지급하며
수암동치과 임플란트
평생관리 시스템을 이루고 있습니다.

또한 구강 위생 상태를 살펴보고,
보철물의 높이와 파손 여부,
치조골 흡수 및 고정 상태를 체크해 주기 위해서
3개월~6개월마다 치과를
방문해 주시는 것이 필요합니다.
환자분들께 알맞은 구강관리법을 알려드리며
보다 일상생활의 습관을
쉽게 개선할 수 있도록 도움을 드리고 있습니다.

치아를 손실한 불편함을 겪고 있을 시
이는 치아의 문제만이 아닌
신체 전체의 문제로도 이어질 수 있기 때문에
참지 마시고 더플러스치과를 방문하여
자세한 검사와 진료를 받아보시길 바랍니다.
더플러스는 직장인,
학생분들과 같이 평일 치과 방문이
어려운 분들을 위해 평일 화, 목요일은
오후 8시까지 야간진료를 하고 있습니다.
치료를 고민하고 계신다면 편하신 내원하셔서
검사받아 보시길 바랍니다.
늘 환자분들의 마음에 공감하는
더플러스치과였습니다.
감사합니다.
* 모든 증례 사진은 의.료법 제23조,
제56조에 의거하여,
당사자의 동의하에 게시하였습니다.
* 치료 사진은 모두 본원에서 치료한
환자분 사진입니다.
* 치료 사진은 모두 동일인이며,
동일조건에서 촬영하였습니다.
*개인의 차이에 따라
시술 및 수술 후 부작용이 발생할 수 있으며,
의.료진과 충분한 상담을 받으시길 바랍니다.
더플러스치과 네이버 바로가기