울산남구치과 브릿지에 구멍이 났어요.

 

안녕하세요.

모든 진료에 진심을 다하는 곳,

더플러스치과입니다.

 

치아를 잃게 되었을 때 이를

대체할 수 있는 방법으로는

임플란트나 브릿지, 틀니 등

다양한 방법이 있습니다.

 

그중에서도 브릿지는 상실된 치아의

인접한 치아를 삭제한 후 지대치로 사용하여

보철물을 연결시키는 방법인데요.

 

만일 브릿지를 사용하던 도중

불편함이 생기거나 부러지게

된다면 치아를 살리지 못해 임플란트를

식립하게 되는 경우가 많습니다.

오늘은 더플러스치과에서

울산남구치과 임플란트를 진행하신

환자분을 소개해 드리도록 하겠습니다.

 

 

위 환자분은 40대 남성분으로,

상악 좌측 보철물로 씌워진 곳에 구멍이 나서

타 치과에서 떼웠었는데 계속 떨어지기를

반복하여 치과에 오게 되었다고 하셨는데요.

 

환자분께서 다니시던 치과는 오래되기도 했고,

계속 쓰라는 식으로 얘기해서 아예 치과를 옮겨보려

울산남구치과 본 원에 내원해 주셨습니다.

 

 

불편하다고 호소하신 보철물은

작은 어금니와 맨 뒤에 위치한 대구치의 빈자리를

수복하기 위해 4개의 치아를 브릿지로 제작한 상태였는데요.

 

소구치 자리의 크라운에는 구멍이 나있고,

과거 사용하던 캔틸레버 방식의 브릿지였습니다.

 

캔틸레버 방식의 브릿지란,

양쪽 끝 치아를 지대치로 사용하는

보통의 브릿지 방식과 달리 한쪽 끝에

지지해 주는 치아 없이 붕 떠있는

형태의 브릿지를 의미합니다.

캔틸레버 브릿지의 단점은 지대치가 없는 부위에

과도한 힘이 가해지기 쉬워

문제가 생기기 쉽다는 단점이 있는데요.

 

환자분께서도 대구치에 받는 힘이 강해

지대치의 치조골이 퇴축되면서 치아를

단단히 지지하지 못하고 있었으며,

구멍이 난 소구치도 치아 내부로 2차 우식이

진행되어 있는 상태였습니다.

 

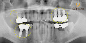
또한 반대쪽 맨 안쪽에 위치한

대구치도 흔들림이 심하다고 하셨는데요.

 

파노라마 상으로 보기에도 치아를

지지해주는 치조골이 대부분 녹아 있는 상태였으며,

금으로 씌워져 있는 소구치에도 염증이 발생되어 있었습니다.

 

대구치의 경우에는 치아를 보존할 수 없는 상황까지

진행되어 발치가 필요하였으며,

소구치의 경우 현재 증상이 없다고 하셔서

그대로 사용하시다 추후 문제가 발생하게 되면

나머지 대구치들과 함께 임플란트를 진행하기로 하였습니다.

 

대합되는 하악 대구치의 경우에도

상태가 좋지 않았는데요.

 

마찬가지로 맨 안쪽 대구치 주변으로는 잇몸이 부어있고,

염증으로 인해 치조골이 퇴축되어 연결된 브릿지

전체가 흔들리고 있었습니다.

 

파노라마 사진상으로는 보철물 속의

내부를 알 수 없기 때문에

브릿지를 제거해본 후 소구치의 상태를 파악하여

재 크라운이나 임플란트를 진행하기로 하였습니다.

 

치료 계획을 세운 후 상악 좌측 먼저

치료를 진행하였으며,

브릿지와 잔존 치근을 모두 발치하였습니다.

 

하지만 상악 구치부 임플란트 식립의 경우

상악동의 위치를 파악하는 것이

무엇보다 중요한데요.

 

상악동과 치조골 사이에 임플란트가

식립될 공간이 부족한 경우 상악동 거상술과 함께

임플란트 식립이 진행되어야 합니다.

 

상악동이란 위턱 뼈 속의

비어있는 공간을 말하는데

상악동 거상술은 이러한 빈 공간인 상악동에

인공 치근이 안정적으로 유착될 수 있도록 상악동

아래쪽을 들어 올려 그 공간에 뼈를

채워 넣음으로써 임플란트를 심을 수 있는

뼈의 양을 확보해주는 방법입니다.

환자분께서도 상악동 거상술과 함께

임플란트 식립을 진행하였으며,

정밀한 진단과 많은 노하우로 부작용 없이

안정적으로 식립할 수 있었습니다.

 

 

어느 정도 아물고 난 후

상악 대구치를 발치 하였으며,

아래쪽 하악 브릿지를 제거하고 보니 소구치의 내부도

상태가 좋지 않아 함께 발치 후 위,

아래 교합이 맞도록 큰 어금니 하나를 제외하고

임플란트를 식립하였습니다.

양쪽 모두 임플란트와 치조골이

단단히 유착한 것을 확인하고 보철물을 제작하였고,

환자분께서는 진작 스트레스 받지 않고

치료 받을 걸 그랬다며 음식물 섭취도 편하고

훨씬 심미적이라 만족한다고 하셨습니다.

 

울산남구치과 더플러스치과는

보건복지부 인증을 받은 치과 구강악안면외과 전문의가

직접 진료를 수행하여 환자 개개인에게

최적화된 1:1 맞춤 시술을 제공하고 있습니다.

 

이를 통해 환자들의 만족도가

높게 유지되고 있습니다.

또한, 체계적인 사후관리와

정기적인 검진이 철저하게 이루어지며,

시술 후에는 보증서를 발급하여 임플란트의

평생 관리 시스템을 구축하고 있습니다.

 

울산남구치과 더플러스는

직장인, 학생분들과 같이 평일 치과 방문이

어려운 분들을 위해 평일 화, 목요일은

오후 8시까지 야간진료를 하고 있습니다.

 

치료를 고민하고 계신다면 편하신

내원하셔서 검사받아 보시길 바랍니다.

 

늘 환자분들의 마음에 공감하는

더플러스치과였습니다.

 

감사합니다.

*모든 증례 사진은 의.료법 제23조, 제56조에 의거하여

환자분의 동의하에 업로드가 진행되었습니다.

 

더플러스치과 네이버 바로가기

11. 수암동치과 난이도가 높더라도 안정적으로

 

 

문의 전화

052-267-7528

네이버 예약

네이버 예약