야음동치과
누워있는 사랑니는 구강악안면외과전문의에게!

안녕하세요.
모든 진료에 진심을 다하는 곳,
더플러스치과입니다.
갑자기 어금니 주변의 치아와
잇몸에서 통증이 있다면
충치가 생겼거나 일시적으로
컨디션이 좋지 않아 생기는 문제라고
생각하시는 경우가 많습니다.
만약 입안의
가장 안쪽에서 문제가 생긴 경우라면
사랑니로 인한 문제일 수도 있습니다.
사랑니는 올바른 방향으로
맹출 하는 경우도 있지만,
치아 중 가장 마지막에 맹출 하는 치아이므로
묻혀있는 매복 형태를 보이는 경우가 많습니다.
매복 형태의 사랑니는 구강위생 관리가 어려우며
사랑니 발치의 난이도가 높아지고,
물혹이 생기는 낭종이 생길 수 있어
큰 문제를 일으키기 전
야음동치과로 오셔서 발치하는 것이 좋습니다.

오늘은 더플러스치과에서
완전히 누워있는 사랑니로 인해
불편감을 느끼셔서 발치를 진행하신
환자분을 소개해 드리겠습니다.
위 환자분께서는
아래의 양쪽으로 사랑니가 조금씩 맹출 하며
머리 부분이 보이기 시작했고,
왼쪽 아래의 사랑니가 특히 불편해서
야음동치과를 찾아 더플러스치과로 오셨습니다.
치과 검색을 통해
전문의를 꼼꼼히 찾아오셨고,
사랑니를 뽑을 때의
통증이 걱정된다고 하셨는데요.
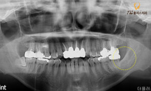
전체적으로 파노라마 사진을 통해
사랑니의 형태를 확인해 본 결과,
환자분께서 말씀해 주신 것처럼
아래 양옆으로 총 2개의 사랑니가
존재하였습니다.
둘 다 누워있는 형태이며 아래턱에
전반적으로 분포하는 신경관인
하치조 신경관과 중첩되어 있는
완전 매복치였습니다.
매복사랑니의 난이도를 결정하는 요인에는
사랑니가 얼마나 기울여져 있는지,
매복되어 있는 깊이,
뿌리는 휘어있지는 않은지,
신경관과의 거리가 어떤지 등을 살펴
결정하게 됩니다.
대부분의 난이도가 높은 매복사랑니의 경우
일반 치과에서는 다루지 않아
대학병원으로 의뢰를 보내는 경우가 많습니다.

신경관과의 중첩을 자세히 확인해 보기 위해
3D CT 촬영을 진행하였고,
신경 손상 없이 주위 조직과
치아에 손상이 가지 않도록
깔끔하게 발치를 진행하였습니다.
이렇게 누워있는 사랑니의 경우
힘을 주어 무리하게 뽑기보다는,
조금씩 치아를 부수면서
조각내어 발치하는 형식으로 진행됩니다.
사랑니 발치 방법에는 여러 방법이 있습니다.
올바른 방향으로 나온 경우에는
단순발치로 잇몸의 절개 없이 발치하며,
만약 약간의 치아머리가 나오며
치아 뿌리의 방향이 수직 방향인 경우,
간단 수술 발치로 사랑니를 덮은 잇몸을
일부 절개하여 발치하게 됩니다.
하지만 복잡 수술 발치의 경우
환자분처럼
치아가 완전히 누워있어 가로방향이고,
잇몸 뼈 속에 있으면서 간단히 발치하기 어려워
사랑니 절단이 필요합니다.

대개 환자분의 경우처럼 누워있는 형태로
매복된 사랑니는 대학병원에 가서
뽑아야 한다는 분들이 많습니다.
환자분께서도 대학병원을
가라는 말을 들었는데 예약이 힘들어
전문의가 있는 곳을 많이 찾아보셨다고 하는데요.
야음동치과 더플러스치과에는
구강악안면외과 전문의이신
장수원 대표원장님께서 대학병원 수준의
체계적인 진료를 진행하고 계시고,
다양한 사랑니 발치 임상 경력이 있어
세심하고 만족스러운 진료가 가능합니다.
환자분께서도 대학병원까지 가지 않아도
주변에 이렇게 믿음직한 분이 계신지 몰랐다며
아프지 않게 잘 뽑아주셔서
감사하다는 말씀 원장님께 전해주셨고,
다음 약속은 반대편 발치 약속으로
함께 예약도 잡아드렸습니다.

야음동치과 더플러스치과에는
보건복지부 인증 구강악안면외과 전문의이신
장수원 대표원장님께서
환자 맞춤 진료를 위해
상담을 직접 진행하고 계시고,
환자의 상태를 면밀히 살펴
그에 맞는 계획을 체계적으로 세우고 계십니다.
3D CT 촬영을 진행하며
사랑니의 위치와 신경관을 파악한 후,
통증 저감 마취기 등의 환자분들이 느끼실
불편감을 줄이기 위한
노력 또한 많이 기울이고 있습니다.
늘 환자분들의 마음에 공감하는
더플러스치과였습니다.
감사합니다.
* 모든 증례 사진은 의.료법 제23조,
제56조에 의거하여,
당사자의 동의하에 게시하였습니다.
* 치료 사진은 모두 본원에서 치료한
환자분 사진입니다.
* 치료 사진은 모두 동일인이며,
동일조건에서 촬영하였습니다.
*개인의 차이에 따라
시술 및 수술 후 부작용이 발생할 수 있으며,
의.료진과 충분한 상담을 받으시길 바랍니다.
더플러스치과 네이버 바로가기