수암동치과
누워있는 사랑니 방치하면 더 큰 문제로

수암동치과 실내 이미지

안녕하세요.

모든 진료에 진심을 다하는 곳,

더플러스치과입니다.

우리의 입안에서 갑자기 찾아오는

불청객인 사랑니는

예고 없이 찾아오곤 합니다.

입안의 가장 안쪽에서 자라 나오는

사랑니의 특성상

칫솔이 잘 닿지 않는 곳에 위치하여

구강 위생관리를 꼼꼼히 하기에

여간 어려운 일이 아닌데요.

평소에 식사 시에 음식을 씹으면서

저작에 의한 자정기능을 하기도 하지만,

사랑니의 경우 제일 안쪽에 위치하며

위아래의 맞물리는 대합치가 없어

자정기능을 일으키지 못해

치태와 치석이 치아 주변에 머무르기 쉬우며,

충치와 치주 질환이 잘 생기곤 합니다.

특히 아래쪽에 나는 사랑니는

잇몸뼈에 묻혀있는 형태의

매복 사랑니가 많습니다.

아래쪽에 나게 되는 매복 사랑니의 경우

인접한 치아에도 충치를 유발할 수 있어

사랑니발치를 권해드리곤 합니다.

“왼쪽 아래 큰 어금니가 너무 아프고,

사랑니 주변으로 잇몸이 자주 부어요.”

오늘은 더플러스치과에서

하악 신경관과 중첩되어 있는

매복 사랑니로 인해 인접 치아의 통증이 있어

내원하신 환자분을 소개해 드리겠습니다.

환자분께서는 왼쪽 아래쪽

큰 어금니 부위로 씹을 때마다

너무 통증이 심하다고 하셨고,

그 부위 주변으로 사랑니가 있어선지

잇몸이 자주 붓는 증상이 있으셨다고 합니다.

잇몸이 부을 때마다 양치를 좀 열심히 하면

금방 잇몸이 가라앉아서

큰 문제가 될 것이라고

생각을 안 하셨다고 하셨는데요.

어느 순간 갑자기 시린 증상과 함께

저작 시 통증이 심해져

이상함을 감지하고 내원해 주셨다고 합니다.

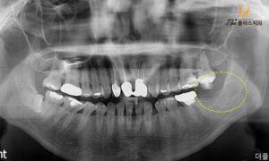
엑스레이 촬영을 진행해 보니

환자분께서 말씀해 주신 부위의

사랑니로 인해 인접한 큰 어금니가

충치가 생긴 상황으로 보였고,

큰 어금니는 충치가

많이 진행되어 있는 상태였습니다.

환자분의 경우처럼

누워있는 방향으로 난 사랑니는

사이에 음식물이 끼기 쉽고,

양치 관리가 어려워 충치가 생기기 쉽습니다.

또한 치아의 씹는 면보다

치아 사이에 생긴 충치가 치아 내부의

신경 조직에 도달하는 데까지

걸리는 거리가 짧아 충치가 생긴 경우

더 쉽게 신경 가까이로 침투하게 됩니다.

 

보통 이렇게 사랑니 자체의 충치뿐만 아니라

인접한 어금니에도 영향을 줄 수 있는

매복 사랑니의 경우,

문제를 일으키기 전 원인이 되는

사랑니를 발치하는 것을 권해드리고 있습니다.

수암동치과 더플러스치과에서는

발치한 3D CT 촬영을 통해

사랑니 주위의 조직을 면밀히 살펴

3차원적으로 위치와 상태를 확인하고,

발치를 위한 계획을 세워

적절한 접근 방법을 선택하여

환자분께 맞는 최선의 치료 계획으로

치료를 진행하고 있습니다.

따라서 먼저 문제의 사랑니 발치 전

3D CT 촬영을 함께 진행하였고,

아래턱에 매복되어 있는 사랑니가

아래턱에 전반적으로 퍼져있는

하치조 신경과도 중첩되어 있어

확인 후 세심한 발치를 진행하였습니다.

또한 인접한 치아의 경우 사랑니 발치 후

상태를 확인해 보니 충치가 이미

신경까지 퍼져있어 추후 예후가 좋지 않아

다른 부위로 좋지 않은 영향을 줄 수 있어

발치를 진행하였습니다.

수암동치과 치료전후 사진
사랑니 발치는

무조건적으로 해야 하는 것은 아니지만

상황에 따라 더 큰 문제를

일으킬 가능성이 있다면 발치가 필요하다고

환자분들께 말씀드리고 있습니다.

올바르게 자리를 잡고

맹출 하는 사랑니라면 발치를 바로 진행하지 않고

지켜보며 문제가 되지 않도록

올바른 관리가 필요합니다.

수암동치과 더플러스치과에서는

다양한 디지털 장비를 가지고 있어

확인 후 발치가 필요한 상황이라면

발치 여부를 판단하여

여부를 안내드리고 있습니다.

환자분께서는 잇몸이 좀 부었을 때에

바로 왔어야 했는데 방치해서

치아가 많이 상한 것 같아

속상하다고 하셨지만,

다른 치아에 더 크게 영향이 가지 않은 것에

위안을 삼고 이제 관리를

더 잘해야겠다고 하셨습니다.

또한 이번 발치 이후

반대편 발치도 함께 진행하면서

염증이 완전히 제거됨을 확인한 후

추후 임플란트 식립을 통해

빈 공간을 함께 회복하는 것으로 하였습니다.

수암동치과 사랑니발치는

그냥 마냥 발치를 하는 것이 아니라

주변의 인접 치아와 신경,

혈관 등의 해부학적인 구조물까지

복합적으로 고려한 치료가 진행되어야 하므로

현재 환자분의 상태를 면밀히 살펴

치료를 진행할 수 있는 곳을 찾아

임상경력이 많은 곳을 선택하시는 것이 좋습니다.

본원의 장수원 대표원장님께서는

보건복지부 인증 구강악안면외과 전문의로써

외과적 수술에 대한 넓은 견해를 가지고

치료에 임하시며 다양한 임상 수술 경험을 통해

성공적인 사랑니 발치 치료가 가능합니다.

늘 환자분들의 마음에 공감하는

더플러스치과였습니다.

감사합니다.

* 모든 증례 사진은 의.료법 제23조,

제56조에 의거하여,

당사자의 동의하에 게시하였습니다.

* 치료 사진은 모두 본원에서 치료한

환자분 사진입니다.

* 치료 사진은 모두 동일인이며,

동일조건에서 촬영하였습니다.

*개인의 차이에 따라

시술 및 수술 후 부작용이 발생할 수 있으며,

의.료진과 충분한 상담을 받으시길 바랍니다.

 

더플러스치과 네이버 바로가기

문의 전화

052-267-7528

네이버 예약

네이버 예약