수암동치과 건강하게 보존하기 위해

안녕하세요.
모든 진료에 진심을 다하는 곳,
더플러스치과입니다.
양치하다 우연히 거울을 봤을 때,
또는 혀로 만져지는 볼록한 잇몸 염증이 발생해 있다면
치아 뿌리에 염증이 발생했을 가능성이 높은데요.
간헐적으로 발생한다고 하여
이를 방치하게 되면 치조골을 소실시켜
치아를 흔들리게 만들 수 있고,
주변 인접한 치아들에게도
악영향을 미칠 수 있습니다.
또한 염증의 크기가 커진 경우에는
해당 치아를 보존할 수 있는 가능성이
현저히 낮아지며 발치를 진행하는 경우가 많습니다.
하지만 본 원에서는
자연치아를 보존하기 위한 마지막 방법인
치아재식술과 치근단절제술을 진행하여
자연치아를 살리기 위해 노력하고 있습니다.
치아재식술이란 치아의 손상 없이
조심스럽게 발치를 한 후 최대한 빠르게
치아 뿌리 염증을 제거하고
본래 치아의 위치로 심어주는 치료로,
치아를 살리기 어렵다고 판단될 정도로 심각하거나
신경치료 중 근관이 막혀
염증을 배출하지 못할 때,
신경치료 이후 통증이 가라앉지 않을 때
고려하는 방법입니다.
특히 치아재식술은 치아가 부러지지 않도록
발치하는 것이 핵심이라고 할 수 있습니다.

또 다른 방법인 치근단절제술은
치수에 염증이 있거나 세균에 감염되어서
치아 뿌리 끝에 염증이 일어난 경우,
근관 치료를 시행한 후에도
치아 뿌리 끝 주위에 있는 조직은
치료되지 않았을 때 치아 뿌리 끝에 있는
치조골 주위의 염증 조직을
치아 뿌리 끝부분과 함께 잘라내는 것을 말합니다.
치근단 절제술을 진행하게 되면
치아를 발치하지 않고 보존할 수 있다는
장점이 있기 때문에 근관 치료를 했지만
통증이나 염증 증세가 그대로 남아 있는 경우,
치아 뿌리 통로가 좁아서
근관치료를 하는 기구로는
치아 뿌리 끝 부분까지 닿을 수 없는 경우,
치조골을 치료하는 경우에 실시합니다.
수암동치과 더플러스치과는
항상 치아를 최대한 살리자는
목표를 바탕으로 치료를 진행하고 있습니다.
따라서 자연치아를 살리려는
노력을 통해 가능한 복잡하고 힘든 치료지만,
치근단 절제술을 환자분을 위해
시행하고 있습니다.

오늘은 수암동치과 본원에
타원에서 신경치료 한 치아 하방으로
염증이 크게 발생하여 내원해 주신 분을
소개해 드리도록 하겠습니다.
환자분께서는 잇몸 위로 염증이 크게 올라와
본 원에 내원해 주셨는데요.
몇 년 전 타 치과에서 신경치료를 진행하고
크라운을 수복한 치아라 하셨습니다.
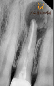
정밀한 상태를 파악하기 위해
x-ray를 촬영해 보았더니 이미 해당 치아 밑으로
염증이 심하게 진행되어 있었고,
인접한 치아로 염증이 이완되고 있는 상태였습니다.
일단 치근단 절제술을 진행하여
염증을 제거해보기로 하였으며,
이후 경과가 좋지 못한 경우에는
발치 가능성도 설명드리고 치료를 진행했습니다.

먼저 잇몸을 박리하여 염증을 제거한 후
염증이 염증이 발생된 치근을 절제하게 되는데,
염증 제거 후 심한 뼈손실이 있을 경우
치료 중 뼈이식을 함께 진행하기도 합니다.
환자분께서는 뼈이식은 따로 진행하지 않고
뿌리 끝에 세균이 재 감염되지 않도록
끝부분을 MTA라는 특수한 충전 재료를 통해
마무리한 후 경과를 지켜보기로 하였습니다.
치근단 절제술의 경우,
예후를 지켜보기 위해 정기적으로
검진하는 과정이 꼭 필요합니다.
이를 통해 염증 조직들을
제거하고 난 후의 잇몸뼈가 차오르는 과정을
꼼꼼히 살펴보며 상태를
확인하는 과정을 거치게 됩니다.

염증이 완전히 없어지진 않았지만
처음 내원 했을 때에 비해서는
확연히 좋아진 모습을 볼 수 있었고,
젊은 나이의 환자분이기에 자연치아를
살리는 것에 의의를 두고
추후 정기적으로 검진 받기로 하고
치료를 마무리 하였습니다.
치근단 절제술의 경우 치아를 살리기 위한
최후의 수단으로 시도하는 방법인 만큼
많은 경험을 접해본 의료진이 있는 곳으로 가서
치료를 받으셔야 장기적으로
보았을 때에 예후가 좋습니다.

수암동치과 더플러스치과의
장수원 대표원장님께서는 보건복지부 인증
구강악안면외과 전문의로써
최대한 치아를 살리기 위한 노력과 함께
구강외과 전문 수술과 시술이 가능해
믿고 맡기실 수 있습니다.
늘 환자분들의 마음에 공감하는
더플러스치과였습니다.
감사합니다.
* 모든 증례 사진은 의.료법 제23조,
제56조에 의거하여,
당사자의 동의하에 게시하였습니다.
* 치료 사진은 모두 본원에서 치료한
환자분 사진입니다.
* 치료 사진은 모두 동일인이며,
동일조건에서 촬영하였습니다.
*개인의 차이에 따라
시술 및 수술 후 부작용이 발생할 수 있으며,
의.료진과 충분한 상담을 받으시길 바랍니다.
더플러스치과 네이버 바로가기