울산치과
휘어있는 뿌리인 완전매복치도 쉽게 뽑아요!

안녕하세요.
모든 진료에 진심을 다하는 곳,
더플러스치과입니다.
우연히 정기 검진을 하러
치과에 들러 전체적인 사진을 보고
사랑니의 존재를 아시는 환자분들이 많습니다.
사랑니란 단어만 보아도 아플 것 같고
고생할 것 같은 느낌이라며
환자분들께서 매번 말씀해 주시곤 합니다.
특히 잇몸 안에 묻혀있는 매복 사랑니는
잇몸과 붙어있는 어금니에
염증과 충치를 일으켜 여러 문제를
일으키는 경우가 많습니다.
또한 신경과 가까워
사랑니 발치를 진행하더라도
조심해야 하는 부분이 많은
까다로운 치아라고도 할 수 있습니다.
사랑니가 똑바른 방향으로 나와있는 경우,
다른 치아에 영향을 줄 위험이 적어
무리하게 치아를
뽑지 않아도 되는 경우도 있습니다.
하지만 잇몸이 붓기가 심하고
통증이 심한 염증 상태에 있을 때에는
반드시 뽑아주어야
주변 치아와 잇몸 조직에도 영향이 가지 않아
사랑니치료를 권해드립니다.

오늘은 울산치과 더플러스치과에서
위아래의 사랑니 불편감으로 인해
발치를 진행하신 환자분을 소개해 드리겠습니다.
위 환자분께서는
위아래의 사랑니가 있는데
최대한 빨리 뽑았으면 좋겠다며
본원으로 내원해 주셨습니다.
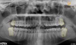
일단 위쪽의 사랑니는 오래전부터 맹출 했고,
그 부위로 음식물도 잘 끼고,
치간칫솔이 잘 안 들어가서
관리가 어렵다고 말씀해 주셨습니다.
아래쪽은 아직 나진 않았는데
엑스레이 상 사랑니의 방향이 똑바른 방향이라
쉽게 뽑을 수 있을 거라고
생각했다고 하셨는데요.
사랑니 발치의 난이도는
사랑니 매복의 여부와 맹출 방향,
뿌리의 휘어짐 정도, 신경관과의 거리,
상악동과의 거리 등을 면밀히 따져 결정됩니다.
환자분의 상태에서 양쪽 위
사랑니의 경우 올바른 방향으로
머리 부분이 노출된 상태였기 때문에
단순 발치를 진행하여 간단히 발치가 가능합니다.
하지만 양쪽 아래 사랑니의 경우
잇몸뼈 안에 묻혀있는 매복 사랑니의 형태이며,
특히 왼쪽 아래의 사랑니의 뿌리를 보시면
휘어있는 모습이 관찰됩니다.

이렇게 환자분의 경우처럼
매복되어 있을 뿐만 아니라
뿌리가 휘어진 사랑니의 경우,
발치 시 일부 잇몸의 절개가 필요하며,
뼈 삭제가 동반되기도 합니다.
또한 휘어진 뿌리가 발치하는 과정에서
부러질 경우가 있을 수 있어
좀 더 신경 써야 하는 까다로운
진료에 속하는데요.
환자분과의 충분한 상담을 나누었고,
양쪽 위의 사랑니는 단순발치가 가능하지만
아래의 사랑니의 경우
올바른 방향이지만 매복의 형태이며,
뿌리도 휘어있어
난이도가 높은 부분 설명드렸습니다.
따라서 2번에 나누어 오른쪽과
왼쪽 위아래 발치 치료를 하기로 하였습니다.
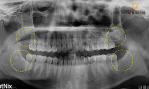
발치 후의 엑스레이 상에서
꽤 난이도가 있는 발치였음에도 불구하고
남아있는 잔여 조직 없이
깔끔하게 발치된 모습을 보실 수 있습니다.

매복 사랑니의 경우
잇몸의 염증을 일으켜
불편함을 주는 경우가 많은데요.
보통 환자분들께서 염증이 생겨도
시간이 지나면 괜찮아짐을 반복하며
치과에 내원을 미루시곤 합니다.
하지만 이렇게 염증이 생기기를 반복하게 되면
치아 주변의 잇몸뼈의 양이 서서히 줄어들며
인접한 어금니에도 영향을 미치기도 하는데요.
따라서 울산치과 더플러스치과에서는
가급적 사랑니 발치를 두렵다고
지체하기보다는 정밀 진단을 받아
순차적으로 제거하는 것을 추천드립니다.
환자분께서도 양쪽 위 사랑니는
항상 음식물이 끼고 잇몸이 부어
불편함이 해소되어 너무 좋고,
아래쪽의 사랑니도 생각보다
아프지 않게 잘 뽑힌 것 같아 원장님의 실력이
상당히 좋으신 것 같다며 말씀 전해주셨습니다.

사랑니를 뽑을 때에는 난이도에 맞는,
환자분의 현재 상태에 맞는 치료 계획을
세울 수 있는 곳을 찾아
치료를 받으셔야 합니다.
특히 매복되어 있는 사랑니의 경우
신경과 가깝거나 상악동과
가까운 경우가 많아 더욱이 세심한 진료를
필요로 하기 때문에
의료진의 실력과 다양한 임상경험이 있는지
확인하는 것은 필수입니다.
울산치과 더플러스치과의
장수원 대표원장님께서는 정밀 검사를 진행하여
1:1 환자 맞춤 치료를 진행하며,
보건복지부 인증 구강악안면외과 전문의로써
수술과 관련한 치과 치료에 대한
탁월한 노하우로 사랑니 발치 또한
믿고 맡길 수 있습니다.
늘 환자분들의 마음에 공감하는
더플러스치과였습니다.
감사합니다.
* 모든 증례 사진은 의.료법 제23조,
제56조에 의거하여,
당사자의 동의하에 게시하였습니다.
* 치료 사진은 모두 본원에서 치료한
환자분 사진입니다.
* 치료 사진은 모두 동일인이며,
동일조건에서 촬영하였습니다.
*개인의 차이에 따라
시술 및 수술 후 부작용이 발생할 수 있으며,
의.료진과 충분한 상담을 받으시길 바랍니다.
더플러스치과 네이버 바로가기